当前位置: 首页 > 新闻中心 > 医院动态 > 正文

山西医科大学第一医院心血管内科使用冠脉逆向导丝技术助力复杂心脏再同步除颤器CRT-D植入

   发布日期:2023-12-11 08:00

近日,山西医科大学第一医院心血管内科赵志强主任医师心律失常团队为一例扩张性心肌病心功能IV级、完全性左束支传导阻滞患者,成功植入心脏再同步除颤器(CRT-D),术后各项起搏参数理想,心电图QRS波明显缩窄,患者恢复良好。

图片    
   


     
图片          
图片          

         

         

         
   

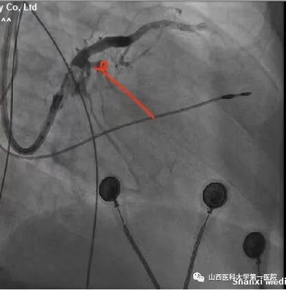
该患者为老年女性,主因反复间断胸闷10余年,加重1周入院。完善相关检查后提示:窦性心律,QRS波宽度187ms、完全左束支传导阻滞形态;心脏彩超显示:左室射血分数:25%,  左室舒末内径:72mm,符合ESC2021CRT指南I类适应证。术中,冠状窦静脉造影发现左室电极靶静脉(左室侧静脉)迂曲,双导丝导丝(Runthrough NS和Pilot50)均无法通过,采用逆向导丝技术,从后静脉逆向进入迂曲的静脉分支及侧支,成功进入左室侧静脉。

图片        

图片

图片

图片

图片

图片

图片

<上下滑动查看更多>

   

该患者冠状窦静脉侧支迂曲严重,前向无法进入左室侧静脉;同时,后静脉逆进入左室侧静脉的分支也非常迂曲,并且多处位置有膈神经刺激,左室电极多次调整,进入不同分支,并调整深度,最终寻找到起搏阈值好且无膈神经刺激位点。赵志强主任医师团队创造性的把冠脉PCI技术应用到手术中,并克服诸多困难,成功完成CRTD植入,期待患者后期心衰症状改善。

图片    
术后优化心电图    

CRTD是什么?

CRTD是一种高级的起搏治疗方式,CRT是三腔起搏器置入术,也叫做心脏再同步化治疗,而CRTD是在心脏同步化的基础上加了除颤功能。

图片        

CRTD起搏器植入术适用于心室腔扩张明显,射血分数低于40%且心电图证实左右心室收缩严重不协调的患者,一般QRS波群往往时限超过0.20秒,同时这类患者有潜在恶性室性心律失常风险。植入CRTD可以人工的使左右心室同步收缩,缩窄QRS时限,万一出现室速室颤,还可以第一时间行除颤治疗。如果这类患者同时还合并心动过缓,那么更是植入CRTD的强适应证。

       

       

   

电生理团队成员

王睿主任医师、赵志强主任医师、郭敏主任医师、王瑞华副主任医师、高佳主治医师、张楠主治医师

心律失常门诊时间

王睿主任医师(周二下午)

赵志强主任医师(周一上午、周四下午)

郭敏主任医师(周二上午、周三下午)



   

联系我们

    医院官方公众号                      

    医院官方公众号    互联网医院公众号    问题“码上说”

    建议“用心办”



解放路院区地址:中国·山西省太原市解放南路85号 邮编:030001       
门诊咨询:0351-4639766  1号住院楼:0351-4639800  5号住院楼:0351-4867363 

8号住院楼:0351-4867333 病案室:0351-4639715     医患沟通办:0351-4639019
前进院区地址:中国.山西省太原市前进路南段35号  门诊咨询:0351-4638055                       

晋ICP备12003687号-4    晋卫网复审[2014]第0003号