6月18日,山西医科大学第一医院口腔内科儿童口腔团队在日间手术中心为一名6岁患儿在全麻下完成17颗牙齿的治疗,通过一站式精准干预解决了患儿复杂口腔问题,避免了多次治疗对患儿心理健康带来的不利影响。

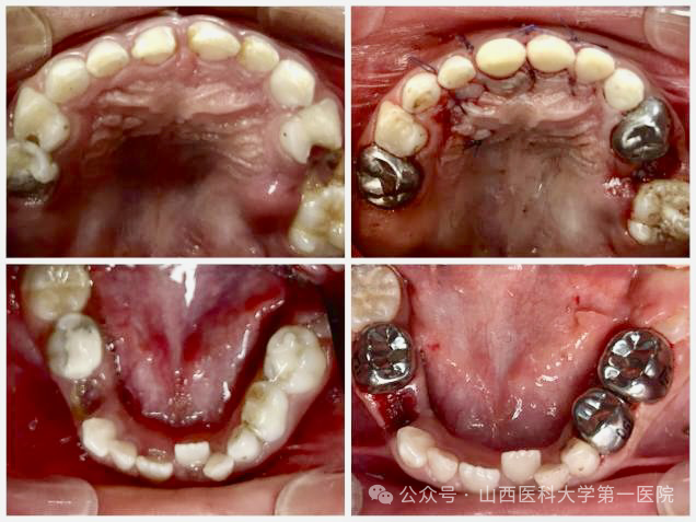
儿童龋病患病率高达70%,很多患儿因龋齿出现牙痛、咀嚼困难、继承恒牙发育异常等问题,然而传统治疗常因患儿恐惧、哭闹或难以配合导致无法进行常规口腔治疗,若强制治疗可能因抗拒行为存在口唇牙龈软组织撕裂等。本次接受治疗的患儿因长期全口多颗牙龋齿导致乳牙严重缺损,伴牙髓炎症反复发作,同时影像学检查发现上前牙区存在2颗埋伏多生牙影响恒牙正常萌出,因患儿恐惧无法进行门诊治疗,口腔内科赵玮副主任医师、孟璐璐主治医师、杜晓红护士长、罗淋护士详细制定治疗方案,口腔颌面外科令狐清溪副主任医师全力配合,在麻醉科吕洁萍主任、侯瑜主治医师、日间手术中心护士长史丽萍的支持下,经三方会诊和全面评估在日间手术中心实施全麻下微创口腔治疗。

手术当天在麻醉科经鼻插管全气道管理全身麻醉下,口腔内科采用微创去腐复合树脂美学修复、牙髓根管治疗、牙髓切断术以及预成冠技术恢复患牙的形态及功能;口腔颌面外科团队微创拔除2颗埋伏牙多生牙,患儿术后2小时完全苏醒,经观察无任何不适于第二日上午离院。
口腔内科儿童口腔团队不仅具备精细化治疗技术,而且更注重无痛、微创和儿童心理关怀,今后将持续优化儿童舒适化诊疗流程,推广多学科联合模式,让更多患儿享受“无惧看牙”的优质服务。
口腔内科儿童口腔及预防门诊诊疗范围
儿童诊疗行为管理,儿童口腔常见疾病的诊断和治疗,包括乳牙龋病充填、根管治疗、乳牙及年轻恒牙活髓保存术、牙外伤的应急处理,以及窝沟封闭、氟化物防龋等预防保健工作,开展儿童及特殊人群全麻下口腔舒适化综合治疗。
供稿:口腔内科 孟璐璐
制作:朱虹瑾
初审初校:孙晓军
复审复校:张君
终审终校:程红
发布:董希秀